تسجيل الدخول
SCANNING TRANSMISSION ELECTRON MICROSCOPE IMAGES

The unit is having JEOL's JEM-1200 EXII Scanning Transmission Electron Microscope (STEM). This is a 120 kV microscope which used to study high resolution image of biological and material sample

المجهر الالكتروني النافذ والماسح يستخدم لدراسة العينات البيولوجيه وغير البيولوجيه وتصل درجة تكبيره الي 500000 مره كما يمكن استخدامه لدراسة المكونات العنصريه لسطح المواد.

These all photos can be used by schools and downloaded for educational purpose. For additional detailed information please call 24987654 or email us at: emu@kuniv.edu.kw

يمكن تحميل هذه الصورواستخدامها في المدارس للوسائل التعليمية وللحصول على معلومات اضافية مفصلة الرجاء الاتصا ل على الرقم 24987654

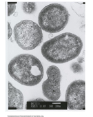
1 صورة مجهرية توضح التركيب الداخلي لخلايا بكتيرية تكبير 30000
2 صورة مجهرية توضح التركيب الداخلي لخلايا بكتيرية تكبير 30000
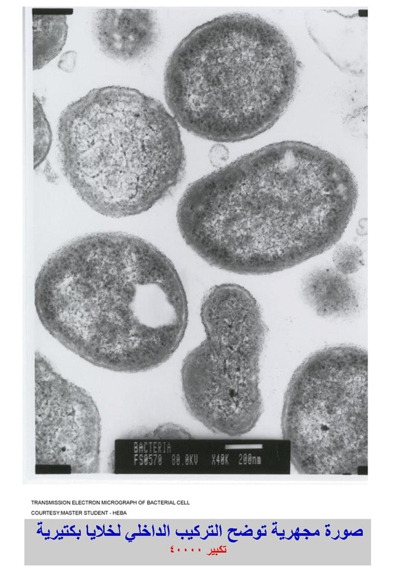
3 صورة مجهرية توضح التركيب الداخلي لخلايا بكتيرية تكبير 40000
4 صورة مجهرية توضح التركيب الداخلي للبوغة في خلايا الفطر تكبير 20000
5 صورة مجهرية توضح التركيب الداخلي للابواغ في خلايا الفطر تكبير 10000
6 صورة مجهرية توضح التركيب الداخلي لخلية كبد فأر تكبير 6000
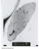
7 صورة مجهرية توضح التركيب الداخلي للجزء المصنع للمادة الخضراء ( الكلوروفيل ) في النبات تكبير 20000
8 صورة مجهرية توضح التركيب الداخلي لخلية نباتية نموذجية تكبير 10000